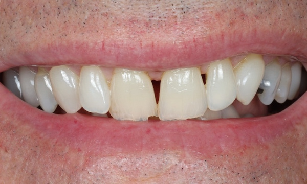
Dental Crowns & Veneers Case 1

Related Services:

Dental Crowns & Bridges
Not finding what you need?