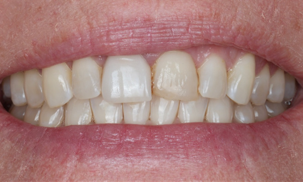
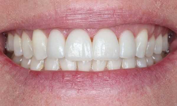
Excellent dental care can truly change lives by improving how you look and feel! Read what our valued patients are saying about us on our patient testimonial page and know that we will provide you with the outstanding dentistry, gentle treatment, and personalized care that you deserve.
At Jensen Beach Dental, we are always accepting new patients of all ages. Whether you are looking for a new dentist, or you have a dental emergency, we look forward to meeting you. We reserve office hours for emergency patients and accept most PPO dental insurance.